Descoperiți salina normală Babio, o soluție sterilă pentru colectarea, transportul și diluarea eșantioanelor. Încredere de laboratoare din întreaga lume pentru diagnosticare sigură și fiabilă.
Cumpărați Agar de dextroză de cartofi (USP) de la Babio, un producător de încredere din China. Ideal pentru testarea mucegaiului și a drojdiei în alimente, farmaceutice și laboratoare de cercetare.
Media Liquid AMIES de la Babio asigură transportul în siguranță și conservarea exemplarelor clinice, susținând testarea fiabilă a microbiologiei în laboratoarele din întreaga lume.
Descoperiți AMIES BABIO, Stuart și Cary-Blair Transport Media pentru o conservare sigură și de încredere. Serviciul OEM de înaltă calitate, OEM și Global Supply.
Setul de detectare a antigenului Vibrio Cholerae de la Babio oferă rezultate rapide și fiabile în 15 minute. În toată lumea de încredere pentru screeningul holerei. Aflați mai multe la BabioCorp.
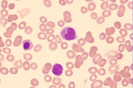
Soluția de pete Giemsa a lui Babio asigură o colorare precisă a celulelor, cromozomului și a malariei. Încredere de laboratoarele globale. Aflați mai multe la babiocorp.com.